$1,000 Off Braces or Clear Aligners – Ends May 15th!
Limited-time offer • Book now before spots fill up!
Terms & conditions apply
1415 Westport Landing PlaceManhattan, KS 66502
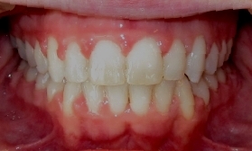
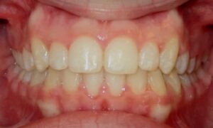
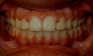
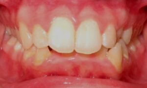
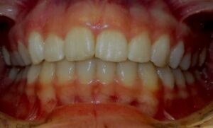
Tindall Orthodontics has proudly treated over 7,500 patients! We are excited to share a few of our before and after pictures!
About Tindall Orthodontics
Your journey to a beautiful smile begins here